
Diş İmplantı Tedavi Süreci
Diş eksikliğiniz var ve implant yaptırmak aklınıza yattı. Peki sizi nasıl bir süreç bekliyor. Neler ...

Diş eksikliğiniz var ve implant yaptırmak aklınıza yattı. Peki sizi nasıl bir süreç bekliyor. Neler ...

KOKSARTROZ ve KALÇA PROTEZİ Koksartroz (kalça kireçlenmesi); kalça eklem kıkırdak ve kemik yapısı ...

KEMİK NOKSANLIKLARININ İLİZAROV YÖNTEMİ İLE TEDAVİSİ Kemik noksanlıklarının cerrahi yöntemle teda ...

Burunu ikiye ayıran kıkırdak ve kemikten oluşan duvara septum adı verilir. Septum burunda herhangi b ...

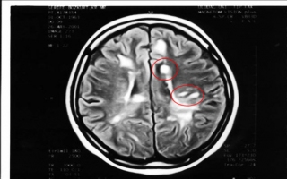
FELÇ (Stroke-İnme-Serebrovasküler olay) Beyin felci genelde 2 şekilde olur. 1-Damar tıkanıklığı 2 ...


GONARTROZ ve DİZ PROTEZİ Gonartroz ( diz kireçlenmesi); diz eklem kıkırdak ve kemik yapısının aşı ...

KAS İSKELET SİSTEMİ TÜMÖRLERİ KAS İSKELET SİSTEMİ TÜMÖRÜ NEDİR? HANGİ TİPLERİ MEVCUTTUR? Tümö ...

ÇOCUK OKULA NASIL HAZIRLANIR? Okul; çocuğun gelişiminde yürüme, konuşma gibi önemli aşamalardan b ...

ÇOCUKLARDA MENİNGOKOK ENFEKSİYONLARINDAN KORUNMA MENİNGOKOK AŞILARI Meningokok bakterisinin neden ...

HIÇKIRIK Genellikle, Diyafram adı verilen, karın ve göğüs organlarını bir birinden ayıran, yayvan ...

MS - MULTİPLE SKLEROZ - PLAK HASTALIĞI Bu hastalıkta beyinde sinirlerin etrafındaki yağ ( miyelin ) ...

Tonsil olarak da adlandırılan bademcikler, dilin arka kısmında boğazın heriki yanında bulunan, bağış ...

Anne adaylarında ağız ve diş sağlığı; hem kendileri , hem de doğacak bebekleri açısından son derece ...

Öğrenme güçlüklerinin en bilineni olan disleksinin kelime anlamı kelime dil zorluğu ya da kelimele ...

PARKİNSON HASTALIĞI Bu hastalıkta; beyinde, kasların hareketini sağlayan ve düzenleyen beyin bölges ...

CİNSEL YOLLA GEÇEN HASTALIKLAR Cinsel yolla bulaşan hastalıkların erken dönemde tespit edilmesi; ...

Bulantı Kusma Dönemi; § Yeme içme olayını hızlı geçiştirmeyiniz § Öğünlerinizi az v ...

NASIL BESLENMELİYİZ? Bundan bir 60-70 sene önce savaşlar ve yiyecek azlığı nedeniyle ülkemizde kı ...

UNUTKANLIK NEDENLERİ - Aşırı stresli ortamda bulunmak - Zihinsel meşguliyetin fazla olması - Depr ...

Normal 0 false false false EN-US JA X-NONE ...

Erken boşalma, çok küçük bir uyarı ile istenenden önce vajinal penetrasyon öncesi veya hemen sonrası ...

EPİLEPSİ - Beyinde oluşan anormal aşırı elektrik aktivitesi sonucu meydana gelir. Sonuçta beyinde b ...

Fıtık patlaması, bazı doktorların hastayı korkutup acil ameliyata almak için kullandıkları bir terim ...

Stres ; Bireyin kendini huzursuz veya baskı altında hissettiğinde verdiği fiziksel, zihinsel, duygus ...

Diş beyazlatma olarak bilinen bleaching işlemi temel olarak ; kimyasal ajanlar kullanılarak dişler ...

Okulların açılmasıyla birlikte ailelerde okul telaşı, öğrencileri de okul heyecanı sardı. Uzun bir t ...

Burun ve Burun boşluğu tümörleri: Burun boşluğu tümörleri, selim ve habis tümörler olarak iki kı ...

Havaların soğuması ve okulların açılmasıyla birlikte kapalı ortamlarda daha fazla kalınması gibi seb ...

Nazofarenks tümörleri (Geniz Tümörleri) I) Selim Tümörler: Nazal fibroid (Nasofarenjial anjiof ...