Total kalça protezi rehabilitasyonu

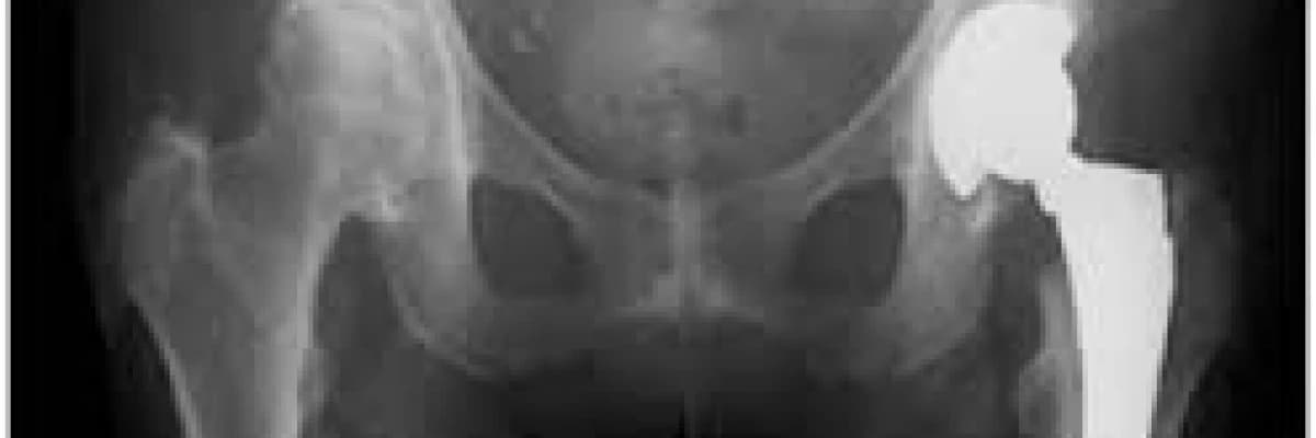
Kalça ekleminin ilerleyen dejenerasyonuna koksartroz adı verilir. Koksartroz kalça ekleminde ağrı ve hareket kısıtlılığı ile karakterize dejeneratif bir hastalıktır. Hastalığın başlangıç evresinde uygulanacak fizik tedavi programları, egzersiz tedaviisi ve kilo kontrolü ile hastalığın ilerlemesi yavaşlatılabilir, fakat ilerleyen yaşla birlikte şikayetler kişinin yürümesime engel olacak şekilde artabilir. Bu durumda Total Kalça Protezi adını verdiğimiz, hasarlı eklemin yapay bir eklem ile değiştirilmesi ameliyatı yapılabilir.
Kalça protezi iki farklı şekilde kemiğe tutturulur. İleri yaştaki, kemik kalitesi zayıf olan hastalara sement (çimento) ile dolgu yapılarak kaynama sağlanırken, daha genç ve kemik kalitesi iyi olan hastada sementsiz (çimentosuz) sabitleme yapılarak, kemiğin kendi kendine dolması beklenir.
Kalça protezi ameliyatı, çok gerekli olmadıkça 60 yaşından önce pek tavsiye edilmeyen bir ameliyattır. Çünkü kullanılan malzemenin ömrü en fazla 15-20 yıldır. Bu sebeple, eğer erken yaşta kalça ağrısı yaşıyorsanız, mutlaka bazı tavsiyelere uymak zorundasınız. Aksi takdirde ilerleyen yaşlarda daha büyük problemlerle karşı karşıya kalabilirsiniz. Bu tavsiyelerin başında kilo kontrolü gelmektedir. Fazla kilo eklemdeki dejenerasyonu artırdığı gibi, ameliyattan sonra da takılan protezin ömrünü azaltır. İkinci bir tavsiye de merdiven inip çıkma eyleminde kaçınmaktır. Kalça ve diz ağrısı olan hastalar bazen asansör yerine spor olsun diye merdiven kullanmayı tavsiye eder, fakat aksine merdiven hastalığımızın ilerlemesine neden olacaktır. Egzersizler, kalça eklemi üzerine fazla yük binmeden yapılabilecek egzersizlerden oluşmalıdır. Bunlara örnek olarak, bisiklet, mat egzersizleri ve yüzmeyi sayabiliriz.
Peki yapılan tedaviler ve egzersizlere rağmen ameliyat gerektiren vakalarda ameliyat öncesi ve sonrasında nelere dikkat edilmelidir?
Ameliyat kararı verildikten sonra 15 günlük bir ameliyata hazrılık süreci uygulanmalıdır. Bu süreçte yapılacak egzersizler ile, ameliyat sonrası harekete daha erken sürede dönüş sağlanabilir. Kalça ve diz kasları güçlendirme egzersizleri çalışılmalıdır. Ameliyattan sonra, hastanın evde yapması gereken bazı egzersizler mevcuttur, fakat hastalar veya yakınları ameliyattan yeni çıkan hastaya bu egzersizleri yaptırmaya korktukları için, egzersizler ihmal edilmektedir yada yeterli derecede yapamamktadırlar. Operasyondan sonra uygulanacak olan fizik tedavi programı, en az yapılan ameliyatın kalitesi kadar önemlidir. Çok başarılı şekilde yapılmış bir kalça veya diz protezi, zamanında ve iyi bir fizik tedavi programı uygulanmazsa başarısız bir operasyon tablosuna dönebilmektedir. Bu sebeple ameliyattan sonra en geç 1 hafta içerisinde tedaviye başlanmalıdır.
Erken dönemde uygulanacak tedavi programını öncelikli amacı, eklem hareket açıklığını artırmak, kontraktürü önlemek ve kas gücünü artırarak günlük yaşamda bağımsızlığı sağlamaktır.





