Skolyoterapide İlerleyiş ve Tedavi Yöntemleri
Fzt. Utku Kaya
21 Kasım 2023198 görüntülenme
Skolyoz ve Tedavi Yöntemleri, Skolyozda egzersiz tedavisi vb.

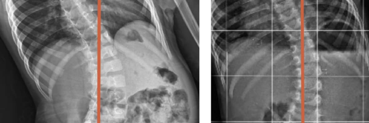
SKOLYOZDA KİŞİNİN HANGİ TÜR SKOLYOZA SAHİP OLDUĞU ESAS ALINARAK O SKOLYOZ TÜRÜNE YÖNELİK VÜCUDU POZİSYONLAYIP EGZERSİZLER VEREREK HAFTADA İKİ VEYA ÜÇ SEANSLA OLDUKÇA HIZLI BİR SÜREDE İLERLEME KATEDİLİR.
Etiketler
Çocuklarda skolyozİdiopatik skolyozÇocuklarda skolyozun belirtileriSkolyoz nasıl anlaşılırÇocuklarda skolyozun tanısıÇocuklarda skolyozun tedavisiSchrottSkolyoz tedavisiDorsolomber skolyozRotoskolyoz nedirMinimal skolyoz nedirSkolyoz operasyonuRotoskolyozschrothyöntemischroth metoduschroth terapi#schrothmethodSKOLYOTERAPİ3DSKOLYOZ





