Doktorsitesi.com

Polikistik Over Sendromu Olan Kadınlar Risk Altında mıdır?

Doç. Dr. Nermin Köşüş
Doç. Dr. Nermin Köşüş
11 Ağustos 20171419 görüntülenme
Randevu Al
Polikistik Over Sendromu Olan Kadınlar Risk Altında mıdır?

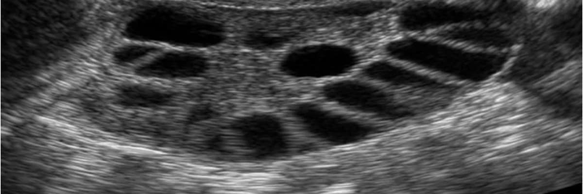
Polikistik over sendromu (PKOS) doğurganlık çağındaki kadınlarda sık görülen hormonal bir bozukluktur. PKOS olan kadınlarda genelde adet düzensizliği, adet görememe, aşırı tüylenme, sivilcelenme, aşırı kilo alımı ve evlilerde çocuk sahibi olamama gibi problemler görülür. PKOS genelde ergenliğe girmeyle başlayan bulgular verir. Ancak erken ergenlik döneminde yani ilk birkaç yıl bu bulgular normal genç kızlarda da görülebileceğinden ayırt edilmesi zordur. Bu nedenle tanı konması gecikebilir. Ergenlik dönemine benzer şikayetleri olan genç kızların PKOS gelişimi açısından daha dikkatli takip edilmesi gerekir. Bazı hastalarda daha geç yaşlarda kilo alımı, stres ve kötü beslenmeye bağlı PKOS bulguları ortaya çıkabilir. Bazen tanı koymak için bazı testler yapmak ve ultrasonla değerlendirmek gerekebilir. Ultrasonda yumurtalıklar normalden büyük görünür. İçlerinde minik-mercimek büyüklüğünde kistcikler görülür. Bunlar erken gelişme aşamasındaki yumurtalardır. Normal yumurtalıklarda da bunlarda 5-8 adet görülür. Ancak PCOS olan hastalarda yumurta gelişmesinin duraklamasına bağlı bu kistciklerden fazla miktarda (10-12’den fazla) görülür. PKOS’un tam olarak nedeni belli değildir. Ancak genelde ailesel yatkınlık vardır. Yani ailede kızlarda benzer bulguları olanlar vardır. Farklı bireylerde farklı bulgular görülebilir. Ama ana neden benzer hormonal bozukluklardır. Bu sorunlar kilo alımıyla daha da şiddetlenebilir.

Polikistik over belirtileri nelerdir?

PKOS’un pek çok ara formları mevcuttur, farklı şikayetler ve semptomlarla hastalar başvurabilir. Ancak tanı koymak için en az 2 bulgunun bir arada olması gerekir.

Bunlar:

• Yumurtlama bozuklukları ve adet düzensizlikleri: Bunlar en sık görülen sorunlardır. Bazı hastalarda geç adet görme, adet görmeme, yumurtlama olmamasına bağlı gebe kalamama, uzun süren kesilmeyen kanamalar vs olabilir.
• Aşırı androjen yüksekliğine bağlı şikayetler: Androjenlerin (testesteron gibi) kan testlerinde yüksek çıkması yada vücutta aşırı tüylenme, sivilcelenme olması, bazı kadınlarda aşırı saç dökülmesi olması.
• Ultrason bulguları: Ultrasonda polikistik overler mevcuttur. Yumurtalıklar normalden büyük ve içlerinde pek çok minik kistcikler görülür.

Polikistik over neden olur?

PKOS’un nedeni tam olarak belli değildir. Birkaç hormonal problemin bir arada olmasından kaynaklandığı için asıl neden net olarak bilinmemektedir. Öne sürülen pek çok hipotez vardır. Bunlardan bazıları şunlardır: Ailesel-genetik faktörler: Hastaların bir kısmında aile öyküsü vardır. Yani ailede benzer bireyler vardır. Kadınlarda tüylenme, yumurtlama bozuklukları, gebe kalamama ve adet düzensizlikleri gibi sorunların hepsi veya bir kısmı farklı kombinasyonlar halinde bulunabilir. Bu ailelerde şeker, tansiyon hastalıkları ve obesite daha sık görülür. PKOS’un diğer bir nedeni insülin fazlalığı olabilir. Özellikle kilosu fazla olan hastalarda insülin miktarı artar. Aşırı insülin yumurtalıklardan aşırı androjen üretilmesine neden olup, tüm hormonal dengeyi ve yumurtlamayı bozabilir. Bazı hastalarda ise beyinden salgılanan yumurtalıkların çalışmasını kontrol eden GnRH hormonun anormal salgılanması söz konusudur. Bunların biri veya hepsi bir arada bulunabilir.

Polikistik over sendromu olan kadınlarda ne gibi riskler var?

PKOS olan kadınların bazılarında sadece yumurtlama bozukluğu, hafif adet düzensizliği dışında belirgin bulgu olmaz. Bazılarında ise bunlara ilaveten bazı kozmetik sorunlar yani aşırı tüylenme, aşırı sivilcelenme, kilo alımı gibi sorunlar gözlenebilir. Bu sorunlar o dönemde fark edilip çözülmesi gereken sorunlardır. Bir de PKOS hastalarının mevcut hormonal dengesizliğe ve aşırı kilo alımına bağlı, kontrol edilmezse ileriki yaşlarda ortaya çıkan ciddi hastalıklarla karşılaşma riski vardır. Örneğin insülin direnci ve tip 2 diyabet yani şeker hastalığı bu kadınlara daha sık görülür. Yüksek tansiyon, kolesterol ve kan yağlarında yükseklik, karaciğerde yağlanma, obezite riski bunlarda daha yüksektir. Uyku apnesi, depresyon daha sık görülür. Anormal rahim kanamaları, normal yumurtlama olmamasına bağlı rahim duvarında kalınlaşma ve uzun dönemde kanser gelişimi olabilir. Bu hastalar seyrek yumurtladıklarından gebe kalmaları daha uzun sürebilir veya gebe kalmak için tedavi almaları gerekebilir. Hamile kaldıklarında ise gebelik şekeri (gestasyonel diyabet) ve gebelik tansiyonu açısından risk altındadırlar.

Polikistik over nasıl anlaşılır?

PKOS tanısı için yapılacak tek bir test yoktur. Birkaç test yada bulgu değerlendirilerek tanı konur. Öncelikle hastanın şikayetleri ve bulguları gözden geçirilerek bunu açıklayacak başka bir sorun olup olmadığına bakılır. Bunlar:
• Aile hikayesi alınır. Ailesinde, akrabalarında benzer sorunları olan kadınlar var mı diye araştırılır.
• PKOS tanısında hastanın öncelikle adet düzeni hakkında sorgulama yapılır. Adet düzensizliği, adet görememe, geç adet görme, gebe kalamama vb durumlar araştırılır.
• Kozmetik sorunlar üzerinde durulur. Aşırı tüylenme, sivilcelenme, saç dökülmesi, epilasyon yaptırma, vücudun belli bölgelerinde renk değişiklikleri vs var mı diye bakılır.
• Hastanın boyu-kilosu ölçülür, tansiyonuna bakılır, vücut kitle indeksi hesaplanır.
• Evli olanlara jinekolojik muayene yapılıp smear testi (rahim ağzı kanserinin tarama testi) yapılır. Genital organlarda bir sorun olup olmadığı gözden geçirilir.
• Ultrason yapılarak özellikle rahim duvar kalınlığı ve yumurtalıkların büyüklüğü ve yapıları değerlendirilir.
• Bazı kan testleri yapılır. Hastanın yaşına bağlı bu testler değişebilir. Hormon seviyeleri, kan şekeri, kan yağları ve şeker yükleme testleri yapılır.

Polikistik over tedavisi

Polikistik over nasıl geçer sorusuna günümüz şartlarında PKOS’un kesin bir tedavisi yoktur şeklinde cevap vermekteyiz. Sadece PKOS’un bulgularını azaltmaya yada ortadan kaldırmaya yönelik tedaviler vardır. Hastaların bu tedavileri genelde uzun dönem kullanmaları gerekir. Verilen tedavi hastanın şikayetine göre değişir. Mesela adet düzensizliği olan bir hastaya adet düzenleyici tedavi, çocuğu olmayan bir hastaya yumurtlatma tedavisi uygulanır. Tüylenme-sivilcelenme olan hastalarda da benzer şekilde duruma yönelik tedavi uygulanır. Bunların dışında bu hastaların gelecekte oluşabilecek risklere karşı da korunması gerekir.

Polikistik over sendromu tedavisinde neler yapılır?

PKOS tedavisinde hastanın şikayeti, yaşı, tedavinin maliyeti, gebelik isteğinin olup olmaması gibi pek çok faktör göz önünde bulundurularak planlama yapılır. Pek çok tedavi şekli vardır. En sık kullanılan yöntemler şunlardır:

• Yaşam tarzı değişiklikleri: PKOS hastalarının ilk yapması gereken şey yaşam tarzı değişiklikleridir. Sağlıklı beslenme, kilo verme, düzenli bir hayat tarzı, stresi azaltma ve spor bu tarzın temelini oluşturur. Egzersiz düzenli olarak yapıldığında hem kilo verilmesini sağlar hem de kan şekerini düşürerek insülin direncini ve androjen seviyelerini azaltır. Olumsuz-kötü alışkanlıkların (sigara, alkol, sedenter yaşam, kolalı içecekler, hazır-paketlenmiş gıdalar) bırakılması gerekir. Doktor ve diyetisyen takibinde polikistik over diyeti ile kilo verilmeli ve ömür boyu kilo kontrolü sağlanmalıdır. Aşırı kilo bu hastalarda hem insülin direncini artırır hem de androjen seviyelerini artırarak aşırı tüylenme ve adet düzensizlikleri, yumurtlama sorunlarına neden olur. Sadece 5-10 kilo verme bile tüm bu şikayetlerde belirgin düzelme sağlar.

• Adet düzensizliğinin tedavisi: Adet düzensizliği için doğum kontrol hapları, adet düzenleyici ilaçlar, iğneler, vücuda yapıştırılan bantlar, halkalar veya hormonlu spiraller kullanılabilir. Hangi ilacın tercih edileceği hastanın yaşına, şikayetine, evli olup olmamasına, çocuk isteğine göre değişir. Genelde hem östrojen hem progerteron içeren ilaçlar kullanılır. Ancak bazen sadece progesteron içeren ilaçlar kullanılır.

• Yumurtlamayı sağlayan ilaçlar: Yumurtlamayı sağlmak için genelde klomifen sitrat türü ilaçlar kullanılır. Klomifen hap olarak alınan bir ilaçtır. Adetin ilk günlerinde başlanır ve 5-7 gün kullanılır. Bazı hastalarda özellikle kilosu fazla olanlara klomifen işe yarmayabilir. Bunlarda farklı ilaçlara [letrozol (Femara), metformin (Glucophage)] yada iğneyle yumurtlatma tedavisine geçilebilir. İğne yani gonadotropin kullanılarak yapılan tedaviler PKOS’lu hastalarda aşırı yumurta gelişmesi ve çoğul gebelik riski taşır. Bu nedenle dozlar çok ince ayarlanmalı, kontrollü bir şekilde artırılmalıdır. Buna rağmen aşırı yumurta gelişirse tedavi iptal edilerek, bir sonraki ay daha düşük dozlarda daha uzun süre tedavi verilmelidir.

• Tüylenmenin azaltılması ve tedavisi: tüylenmeni azaltılmasında en sık doğum kontrol hapları ve androjenleri azaltan bazı ilaçlar kullanılır. Bunu dışında krem şeklinde kullanılan tüy gelişimini azaltan ilaçlar da vardır. Ancak bunlar geçici çözüm sağlar. Yani ilaç kullanılan dönemde androjen hormonlarını baskılayarak tüylenmeyi azaltır, ilaç bırakılınca hormonlar bir süre sonra eski haline döner, bu süre kişiden kişiye değişir ve eski şikayetler başlar. Bu nedenle uygun hastalara kalıcı çözüm olarak epilasyon önerilir. Epilasyon kıl köklerine kalıcı olarak zarar verdiğinden hormon seviyeleri ne olursa olsun artık tüylenme olmaz. Nadir oldularda polikistik over ameliyatı denilen ovarian drilling operasyonu uygulanır. Bu operasyon tıbbi tedaviye cevap vermeyen olgularda yapılır. Laparoskopi ile karın içine girilerek yumurtalıklara koter yardımıyla 5-10 arası delik açılır. Bu yapılan işlem vücuttaki androjen yükünü azaltarak balirtilerin düzelmesini sağlar.

Polikistik over hamileliğe engel mi?

PKOS hastalarının gebelik durumu yumurtlama durumuna bağlıdır. Eğer bu hastalarda yumurtlama oluyorsa, bu seyrek bile olsa kendiliğinden gebe kalma şansları vardır. Ancak bazı hastalarda yumurtlama olmaz veya çok seyrek olur. Bazılarında da beraberinde başka sorunlar da bulunabilir. Bu hastalarda da tedavi uygulanarak gebelik elde edilebilir.

Polikistik over sendromu hastalarında gebelik ve doğum

PKOS’lu kadınlarda gebelik ve doğum diğer kadınlara göre daha risklidir. Düşük riski, erken doğum riski bu kadınlara daha yüksektir. Gebelikte şeker ve tansiyon sorunları daha sık görülür. Bunlara bağlı bebekte büyüme sorunları ve sezaryen doğum oranı daha sıktır. Bütün bu risklerin azaltılması için gebelikte ve hatta öncesinde doğru beslenme ve kilo kontrolü çok önemlidir. Gerekli durumlarda bu hastalara ilaç tedavisi de başlanabilir.

Etiketler

Polikistikover sendromuPolikistik over ağrılarıPcos ne demekPolikistik over sendromu (pcos)Polikistik over kanserPolikistik overde tedaviPcoPcos nedenleriPco tüylenmePolikistik over görüntüsüPolikistik over sivilceleriPolikistik over hastalarıPcos etkisiPcos teşhisPcos tedaviPolikistik over hastalığıPolikistik over hastalığında teşhisPolikistik over hastalığında tedaviPolikistik over hastalığında cerrahiPolikistik yumurtalıkPolikistik yumurtalık hastalığıPolikistik over beslenmePcos tedavisiPolikistik over progestanPolikistik overim var hamile kalabilirmiyimPolikistik over geçer miPolikistik over hamile kalmakPolikistik yapıPolikistik over sendromuPco teşhisiPcos hastalığıPcos tadavisiPolikistik over sendromu tedavisiPcosumPolikistik over kistiPco hastalığıPco polikitik overPolikistik over sondromuPcos tanısıPolikistik over sendromutüp bebekPco sendromuPolikistik over sendromluPolikistik over sendromu varlığında hamile kalmaPcos teşhisiPco idrara etki eder miPolikistik over sendromunda hamile kalmakPolikistik over sendromunda ilaç tedavisiPolikistik over sendormu tedavisiPcos yasmin kullanımıPolikistik over sendromunda zayıflamaPolikistik over sendromu nedirPolikistik over sendromunun tedavisiPolikistik over sendromu tanısıPolikistik over sendromu pcosPolikistik over sendromu tanıPolikistik over sendromu ve gebelikPcos hastsıyımPcos hastalıgı nedır ve ne yapılmalı memeden sarı akıntı geliPcos da gebelikPcosluyumPolikistik over sendromu ve ilaç kullanımıPolikistik over sendromunda ilaç kullanımıPolikistik over sendromu ve infertilitePolikistik over sendromu tedavisi nedirPcos un hayati tehlikesi varmıdırPolikistik over sendromu ve tedavisiPcos olan bı hasta hamile kalablirmiPcos gebeliği etkiler miPcos kullanılan ilaçların yan etkileri

Yazar Hakkında

Doç. Dr. Nermin Köşüş

Doç. Dr. Nermin Köşüş

Doç.Dr. Nermin KÖŞÜŞ, 1 Nisan 1973 tarihinde Trabzon Akçaabat’ta doğmuştur. Lisans öncesi öğrenimlerini Türkiye'nin çeşitli illerinde tamamlamasının ardından Hacettepe Üniversitesi Tıp Fakültesi’nde tıp eğitimine başlamış ve 1997 yılında mezun olarak tıp doktoru unvanı almıştır. İhtisasını ise 1997-2002 yılları arasında Selçuk Üniversitesi Tıp Fakültesi’nde yapmış ve Kadın Hastalıkları ve Doğum Uzmanı olmuştur. 

Önemli Bilgilendirme

Site içerisinde bulunan bilgiler bilgilendirme amaçlıdır. Bu bilgilendirme kesinlikle hekimin hastasını tıbbi amaçla muayene etmesi veya tanı koyması yerine geçmez.