Polikistik Over Sendromu

Polikistik over sendromu
Kadınlar arasında en çok rastlanılan hormon bozukluklarından birisi polikistik over sendromudur. Bu sendromun nedeni kesin olarak bilinmemektedir. Yumurtalıklarda gelişmeye başlayan fakat gelişme potansiyellerini tamamlayamayan preantral folikül denilen 2-8 mm boyutundaki folliküllerin çevresel dizilmesi ve aşırı erkeklik hormonu testosteron salgılayan stroma olarak adlandırılan tabakaların kalınlaşması ile karakterize olmaktadır.
Polikistik over sendromu, yanlış beslenmek, aşırı kilo alma durumları gibi problemlerin ise hastalığı tetikleyebileceği ifade edilmektedir. Hastalık tipik olarak ergenlik dönemlerinde ortaya çıkmaktadır. Polikistik over sendromulu olan kadınlar genel olarak kilolu olmakta, erkek tipi kıllanma, saçlarda dökülme ve sivilce oluşması söz konusu olabilmektedi. rPolikistik overi ortadan kaldırabilecek bir tedavi yöntemi yoktur fakat yol açtığı sıkıntılar kontrol altına alınabilir ortadan kaldırılabilir.
Polikistik over sendrom’lu hastalarda görülen hiperandrojenemi (erkeklik hormonunda artış) ve hiperinsülinemi görülen sıkıntıların temelini oluşturmaktadır. Polikistik over sendromu'nda görülen insülin direnci adet düzensizliği, tüylenme artışı ve kilo artışı ile ilişkilidir. İnsülin direncine karşı pankreas normalden daha fazla miktarda insülin üretmek zorunda kalmaktadır. Üretilen insüline karşı direnç gelişmekte böylece kanda yüksek düzeyde ama etkisiz insülin düzeyi saptanmaktadır Kanda fazla miktarda bulunan insülin hormonu SHBG (Sex Hormon Binding Globulin) üretiminin azalmasını ve aynı zamanda erkeklik hormonlarının üretiminin artmasını sağlayarak erkek tipi kıllanma artışı, sivilce, ciltte yağlanma ve erkek tipi saç dökülmesine neden olabilmektedir. Sonuç olarak fazla miktarda üretilen insülin hormonu yumurta gelişimi ve yumurtlamayı engelleyerek adet düzensizliği, hormonal bozukluk ve hamile kalmakta zorluk yaşanmasına neden olmaktadır.
Polikistik over sendromu'nda karın bölgesindeki yağlanma artışı kalça bölgesinden daha fazla olmaktadır. Bu nedenle bel çevresinin, kalça çevresine oranı artmaktadır (erkek tipi kilo artışı). Özellikle karın bölgesi yağlanmasının, kalça bölgesinden fazla olması insülin direncinin önemli bir göstergesidir. Polikistik over sendromu olan normal kilolu veya zayıf kadınlarda bel çevresinin, kalça çevresine oranının normalden fazla olması insülin direncinin bir belirtisi olabilir.
Overlerin polikistik görünümü polikistik over sendromundan farklı bir durumdur
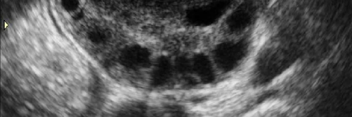
Polikistik over görünümü ultrason ile değerlendirildiğinde kadınların yumurtalıklarını tanımlayan bir terim olmaktadır. Bir overde 12 ya da daha fazla 2 ile 8 mm arasında değişen kistler bulunmaktadır. Bu durum her zaman sorun anlamına gelmemektedir ve sadece ultrasonografik bir bulgudan ibaret olabilir.
Böyle yumurtalıklara sahip olan kadınlar düzensiz adet, androjen olarak adlandırılan erkeklik hormonun aşırı miktarda salınmasına bağlı olarak kıllanma, kilo almalar ve akne şikâyetleri gibi durumlarla hekime başvurabildiği gibi gebe kalmada da güçlükte çekilebilmektedirler. Polikistik over sendromundan söz edebilmek için yukarıda sözü edilen durumlardan birden fazlasının bulunması gerekir
Polikistik over görünümü hiçbir şikayete yol açmayıp sadece USG görüntüsü olarak ta kalabilir.
Polikistik over sendromu tanımı çoğu zaman yanlış anlaşılarak ve yumurtalıklarda kist var sanılmaktadır. Fakat burada asıl anlatılmak istenilen yumurtalıklarda gerçek anlamda kistlerin varlığı değil, gelişimini tamamlayamayıp 2-8 mm boyutunda kalan ve sayıları artan erken yumurtalardır.
Polikistik over hastalığının teşhisi
Normalde bir kadının yumurtalıklarında her ay düzenli bir yumurta üretilir. Bu dönemde üretilen hormonlar kadının düzenli adet görmesini ve kadının sağlıklı hormonal ortamını sağlamaktadır. Polikistik over sendromlu kadınlarda yumurtalıklar düzenli bir şekilde yumurta geliştirememektedir ve buna bağlı olarak ta adet düzenleri bozulmakta ve dolayısıyla gebeliğe ulaşmakta sorun yaşamaktadırlar. Rahim’in iç tabakalarında zaman zaman kalınlaşmalar ve aşırı kanamalar oluşabilmektedir. Androjen olarak adlandırılan ve kadınlara göre erkeklerde daha yüksek oranda salgılanmakta olan hormonların yumurtalıklardan uzun süre aşırı salınması sebebiyle de kıllanmalar, akne oluşması, kilo almalar ve boyunlarda lekelenmeler oluşmaktadır.
Ülkemizdeki kadınların yaklaşık %10 unda Polikistik Over Sendromunun varlığı tespit edilmiştir.Yumurtalıkların polikistik görünümü ise yaklaşık % 20 oranında görülmektedir. PCOS’nun kesin sebebi henüz ortaya konulmamış olmakla birlikte genetik faktörlerin etkisi olduğu düşünülmektedir. Genellikle ailevi yatkınlık olduğu ve ailesinde de bu hastalığın bulunduğu kişilerde riskin de daha fazla olduğu söylenmektedir.
Hastalık farklı kadınlarda çok farklı şikâyetlerle kendisini gösterebilmektedir. Polikistik over sendromlu kadınlarda genel olarak adet düzensizlikleri ergenlik dönemiyle başlamakta ve artarak devam etmektedir. Fakat bütün kadınlarda hastalık aynı şekilde seyretmemektedir. Bazılarında sadece adet düzensizlikleri olurken, diğerlerinde ise hastalığın bütün belirtileri görülmektedir. Beslenme ve yaşam tarzları hastalığın ciddiyetinin ortaya çıkmasında etkili olduğu için, bu tip yumurtalıkları bulunan fakat ideal kiloya sahip ve spor yapan kadınlarda hiçbir şikâyetin olmaması görülebilir.
Polikistik over sendromunun riskleri
Polikistik over sendromlu kadınlar bir takım yönlerden risk altındadırlar. Bunlardan bir tanesi kanda bulunan yağların yüksek olmasına bağlı olarak bu kadınların ilerlemiş yaşlarda koroner damar hastalıklarına yakalanma risklerinin normal popülasyonlara göre çok daha yüksek oranda olmasıdır. Yaşamın ilerleyen yıllarında şeker hastalığı da karşılaşılabilecek bir başka problemdir. Ayrıca polikistik over sendromlu kadınlarda rahim içi tabakasındaki kontrolsüz artışa bağlı olarak adetler düzenlenmezse rahim içi kanser oluşumu da daha fazla görülebilir. Dolayısıyla hastalıkların uzun vadedeki etkilerinin de göz önüne alınması gerekmektedir. Bütün bu uzun vadede olan riskler kiloların kontrol altına alınması,günlük yaşamda spora yer verilmesi ve doğru beslenme ile en az seviyeye indirgenebilir.
Bu kadınlar gebe kaldıkları zamanda yüksek tansiyonlar ve gebelikteki gizli şekerlerin ortaya çıkması olasılığı daha da artmaktadır.
Polikistik over genç kızlar için ne kadar riskli?
Polikistik over görünümü ya da polikistik over sendromu olan genç kızlarda her ay ya da 35 günü geçmeyen şekilde düzenli adet görülüyor ise ciddi bir sorunun olmadığı görülmektedir. Eğer ilaçsız adet olunmuyor ise ya da 2-3 ayda bir ilaçla ya da kendiliğinden adet görülüyor ise bir sorun var demektir. Kısa veya uzun dönemlerde sorunlar ortaya çıkabileceği için, bu durumlarda bir jinekoloji uzmanına görünmekte fayda bulunmaktadır. Kısa dönemlerde en çok kıllanma sorunu dile getirilmektedir ama her genç kızda ortaya çıkmayabilir. Rahim’in içindeki zarın düzenli olarak her ay atılmaması sebebi ile düzensiz olan çoğu zaman adet diye tanımlanmakta olan fakat gerçek anlamda adet olmayan kanamalar olabilmektedir.
Uzun dönemler için ise, şeker hastalığı ve/veya kalp damar hastalıkları riski özellikle vücut kütle indeksi yüksek olan genç kızlarda daha fazla karşımıza çıkabilmektedir.





