Freiberg Hastalığı

Ayakta tarak kemiği olarak adlandırılan metatarsal kemik başında beslenme bozukluğu ve bu bölgede oluşan kırıklar ile seyreden bir hastalıktır.İngilizce beslenme bozukluğu anlamına gelen ‘infarction’ ve kırık anlamına gelen ‘fracture’ kelimelerinin birleştirilmesi ile Freiberg’s Infraction olarak da isimlendirilir.
Freiberg hastalığı ayakta sıklıkla 2.metatars başını tutmakla birlikte diğer metatars başlarını da tutabilir. Hastaların başvuru şikayetleri genellikle belirgin travma öyküsü olmaksızın yük vermekle şiddeti artan bunun yanında düşük şiddette de olsa günlük yaşam içinde süreklilik arz eden metatars başı üzerinde olan ağrı ve buna bağlı yürüyüş ve ayakkabı konforunun bozulmasıdır.
Freiberg Hastalığı kadınlarda erkeklere oranla yaklaşık 4 kat daha fazla sıklıkta görülmektedir.En sık rastlanılan yaş grubu ise 13-18 yaş aralığıdır.Tipik hasta ergenlik dönemi atletizm ile uğraşan kadınlardır.
Bu hastalığın ayak biyomekaniği ile ilişkisine bakıldığında ‘’Morton Ayağı’’ olarak adlandırılan 2.metatars kemiği normalden uzun olan ayak yapısına sahip insanlarda bu durumun görülme sıklığı fazladır.
Hastalığın patofizyolojik davranışına bakıldığında metatars başının beslenme bozukluğuna yol açabilecek mikrotravma,osteonekroz ve stress yüklenmesi mekanizması üzerinde durulmaktadır.
Hastalığın tanısının konulmasında ayrıntılı bir ayak muayenesinin yapılması,ağrılı noktaların tespiti ve bu noktalar ile ilgili olabilecek hastalıklar için tetkiklerin yapılması gereklidir.Metatars başında lokalize hassasiyet,şişlik varlığı uyarcı olmalıdır.Hastalığın erken evrelerinde parmağı çekmekle ağrı olurken geç evrelerde kompresyon uygulamak ile 2. Metatars başında hassasiyetin artması ve zamanla 2.metatars başında hareket kısıtlılığı gelişmesi yaygın muayene bulgularıdır.
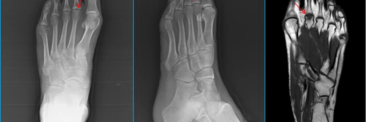
Ayak hastalıkları ile ilgili rutin incelememiz kuralına uygun şekilde çekilen röntgenografi incelemeleri ile başlamalıdır. Friberg hastalığının erken evresi (Smillie Sınıflaması Evre 1) haricinde diğer tüm evrelerde röntgenografik bulgular ortaya çıkmaktadır.Bunlar metatars başı kıkırdak altı kireçlenmeler,metatars başının düzleşmesi ve de eklem yüzünün zarar görmesidir.Evre 1 dediğimiz hastalığın en erken döneminde röntgenografi bulguları ortaya çıkmayacağı (FİGURE 1) için hastanın şikayet ve fizik muayene bulguları ışığında ayak MR inceleme ile hastalığın tanısı koyulabilir.MR da metatars başında daha çok eklem dorsal yüzüne doğru olan metatars başı ödemi (FİGURE 2) tanı koydurucudur.
Freiberg hastalığının tedavisi erken dönemde eklem ve metatars başı hasarı ortaya çıkmadan konservatif yöntemlerle hastalığın etkilerinin sınırlandırılmasını kapsar. Kısa bacak alçı-atel uygulama ile aktivite ve metatars başı hareketlerinin kısıtlanmasının yanında antienflamatuar ilaç kullanımı ve alçı sonrası dolgu topuk ayakkabılar ya da metatars bar ilaveli ayakkabılar ile iyi sonuçlar elde edilmektedir.Konservatif tedaviye yanıt alınamayan olgularda hastalığın evrelerine gore ve eklem yüzünün etkilenmesine bağlı olarak farklı cerrahi teknikler uygulanmaktadır.Bu cerrahi tedaviler sonrası da uygun bir süre ayakta metatars başlarına yük vermekten kaçınılmalıdır.Cerrahi sonrası dönemde alçı-atel,halluks valgus ayakkabıları dolgu topuk ayakkabılar da tercih edilebilir.
Tedavi kararı verilirken hasta ile bütün tedavi yöntemlerinin ayrıntılarıyla konuşulup hasta için en uygun yöntemin yine hasta uyumu ile başarı şansının artacağı unutulmamalıdır.



