Beyincik sarkması (chiari malformasyonu)

Beyinciğe ait “tonsil” adı verilen kısımların omurga kanalına doğru yer değiştirmesine Arnold-Chiari malformasyonu (ACM) adı verilmektedir. Beyinciğin omurilik kanalına sarkmasıyla hem beyincik, hem de üst omurilik (beyin sapı) kanalda sıkışır. Dolayısıyla beyinciğin ve omuriliğin sıkışmasına ait bulgular ve her ikisinin ortasından geçen kanalın tıkanmasına ait belirtiler gelişir. Bunlar arasında en önemli olanı kanalın tıkanmasıdır.
Beyin ile omurilik arasında sürekli sirkülasyon halinde olan beyin omurilik sıvısının (BOS) tıkanıklığın üzerinde birikmesiyle hidrosefali, tıkanıklığı aşmak için beyinden gelen kuvvetli basınçla da omurilik kanalının genişlemesi yani siringomyeli oluşur.
Arnold-Chiari malformasyonunda beyin sapı ve beyinciğin sıkışması nedeniyle yürüme bozuklukları, gözlerde “nistagmus” adı verilen istemsiz hareketler, özellikle sıvı gıdaları yutmada güçlük, nazone konuşma denilen genizden konuşma görülebilir.
Bu rahatsızlığın saptandığı çoğu olguda beyinciğin, kafa çukurundan omurilik kanalına hafif sarkması vardır ancak belirgin sıkışma yoktur. Bu durumda bahsettiğimiz belirtilerde henüz oluşmamıştır. Bu kişiler cerrahi tedavi gerekmeden takipte kalabilirler.
Cerrahi tedavi kişinin muayenesinde ya da tetkiklerinde sıkışıklık belirtisi gösteren hastalara uygulanır. Cerrahideki temel prensip sıkışan bölgenin rahatlatılmasıdır. Bunun için ense kökü ve boyun omurunun üst iki arka kemiği alınır, beyin ve omuriliği saran zar yama ile genişletilerek sıkışıklık giderilir. Bu işleme “dekompresyon” adı verilir.
BHastalığın ilk belirtileri dikkat çekici olduğundan genellikle erken teşhis edilir ve hastalar fonksiyon kaybı yaşamadan normal hayatlarına devam edebilirler. Bir nedenle tedavisi geciken ve ilerleyen olgularda ise ciddi yürüme bozukluğu, elin ince becerilerinde kayıp, yutma bozukluğu gibi ağır nörolojik tablolar ortaya çıkar.
Bu konu ile ilgili bir hastamı sizinle paylaşmak istiyorum;
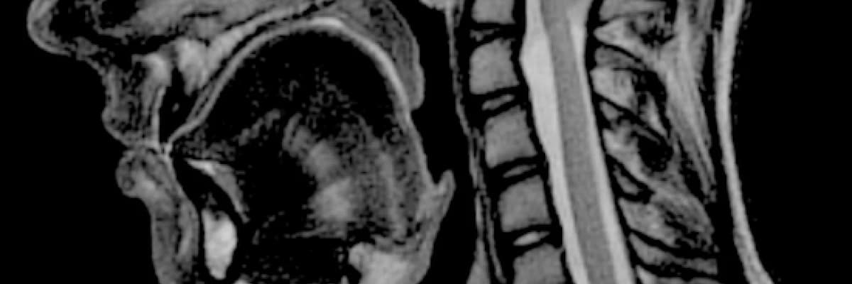
Hastamız 24 yaşında erkek. Yaklaşık 3 yıldır devam eden ense ağrısı, başdönmesi, kollarda uyuşma ve halsizlik hissi şikayetleri ile polikliniğimize başvurdu. Yapılan muaeyene ve radyolojik incelemeleri sonucu BEYİNCİK SARKMASI (Chiari Malformasyonu) tanısı koyduk. (Fotoğrafta görüldüğü gibi başın arka alt kısmındaki denge organı beyincik sarı ok yönünde omurilik kanalına doğru yaklaşık 2 cm inmişti. Normal seviyesi kesikli sarı çizgi hizasında olmalıydı). Beyincik omurilik kanalı içine doğru sarkmış ve burada sıkışmıştı. Hastaya ameliyat önerdik ve ameliyat ettik. Beyinciğin sarktığı bölge üzerindeki kafatası kemiğini, boyun kemiklerini ve beyin/omurilik zarını (dura) açarak omurilik ve beyinciği gevşettik. Pansumanları ve ilaç tedavilerini mütakip 2 gün sonra taburcu edildi.



